Firefighter’s funeral postponed as grieving wife goes into labor with their second child
A devastating loss has shaken a family in Chicago, yet in the middle of that grief, a new life has brought a measure of...
He Left Home At 12, Faced A Heart Condition, And Came From Poverty —...
He wasn’t born into fame, luxury, or opportunity. Long before packed stadiums, global endorsements, and record-breaking goals, he was just a skinny boy growing...
The Son I Buried 15 Years Ago Came Back as My New Employee, Then...
Losing a child creates a specific, hollow type of silence that no amount of time or noise can truly fill. For fifteen years, I...
After My Husband’s Funeral, a Stranger Found Me at Our Favorite Diner—And Revealed the...
Helen Whitaker had always believed that love, once found, never truly left you.
For fifty years, she and her husband Peter had kept a simple...
A security guard forced a freezing 7-year-old into the midnight storm because his single...
A security guard forced a freezing 7-year-old into the midnight storm because his single mother couldn’t afford a babysitter.
“If I move from this...
A little girl went to a police station to confess a serious crime, but...
It started as an ordinary afternoon at the police station — paperwork stacked high, phones ringing, officers moving in and out with quiet urgency.
Then...
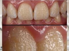
Can Rice Help Improve the Appearance of Teeth? Exploring a Popular Home Method
A popular do-it-yourself trend circulating online suggests that teeth can appear brighter in just one minute using simple household ingredients like rice flour, lemon...
“Wheel of Fortune” Contestant Impresses Viewers with Remarkable Bonus Round Solve
A recent episode of Wheel of Fortune turned into a standout moment for viewers when contestant Delinda Rood delivered a performance that was both...
A Simple Comment Changed Everything — And Taught Me to Truly Appreciate My Wife
The evening my wife mentioned her high school reunion, I barely looked up from my phone. She stood in the doorway holding the invitation,...
7 Subtle Health Changes That May Occur in the Final Stages of Life
Talking about the later stages of life can feel uncomfortable, so it’s often avoided. Many people imagine that life changes happen suddenly, without warning....













